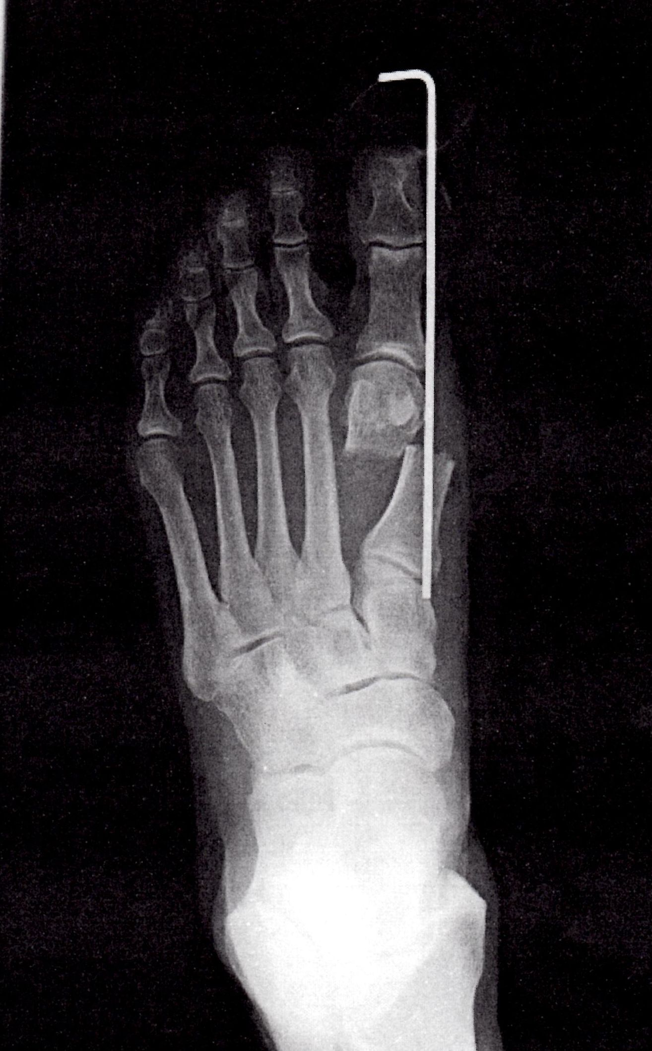
1月17日(金)左足の手術をしました。美しさとは程遠い写真ですすから小さくしました。慶応義塾大学病院でDLMO(デルモ)法で手術、日帰りです。右足は、5,6年前に手術し、左足は、保存療法で進行を食い止めようとしたのですが、徐々に進行してしまうので、日帰り手術ができる間にと思い、寒くて外に積極的にでたくない冬の時期を選びました。
保存的治療、手術的治療双方にメリット、デメリットがあって、手術的治療を選択しても完全に元に戻るわけではありません。 それぞれのメリット、デメリットをよく理解した上で治療法を選択する必要があります。
私の場合は、既に右足を手術していますから、どうしても左右の足の形が違ってきていて、靴をオーダーすると左右のサイズが違ってしまいます。また、見てくれのこともあります。右足は綺麗ですが、左足がゆがんでしまいます。
現在、2週間経過、あと2週間で固定している金具を外せます。もう少しの辛抱です。
3月になったら、筑波山に登ろうと思っています。新しく出来上がった骨に負担がかからないように、御幸ヶ原コースで登るのが無理そうなら、迎場コースを往復するつもりです。足に感謝です。
